简体中文
English
首页
关于亚宏
公司简介
荣誉资质
产品中心
正畸托槽
金属自锁托槽
普通金属托槽
单晶体托槽
陶瓷自锁托槽
普通陶瓷托槽
颊面管
焊接型
粘接型
正畸带环
正畸带环
带环预焊颊面管
正畸牙弓丝
橡皮圈
口内附件
口外附件
正畸钳
口腔正畸工具
根管锉
手用镍钛根管挫
机用镍钛根管挫
手用不锈钢根管挫
机用不锈钢根管挫
新品展示
正畸托槽
亚宏自锁托槽
普通金属托槽
单晶/陶瓷系列
颊面管
焊接型
粘接型
正畸带环
正畸带环
带环预焊颊面管
正畸牙弓丝
橡皮圈
口内附件
口外附件
正畸钳
口腔正畸工具
公司促销
正畸托槽
亚宏自锁托槽
普通金属托槽
单晶/陶瓷系列
颊面管
焊接型
粘接型
正畸带环
正畸带环
带环预焊颊面管
正畸牙弓丝
橡皮圈
口内附件
口外附件
正畸钳
口腔正畸工具
根管锉
下载中心
新闻中心
联系我们
X
手机扫一扫
中
|
EN
首页
关于亚宏
公司简介
荣誉资质
产品中心
新品展示
公司促销
下载中心
新闻中心
联系我们
正畸托槽
金属自锁托槽
普通金属托槽
单晶体托槽
陶瓷自锁托槽
普通陶瓷托槽
颊面管
焊接型
粘接型
正畸带环
正畸带环
带环预焊颊面管
正畸牙弓丝
橡皮圈
口内附件
口外附件
正畸钳
口腔正畸工具
根管锉
手用镍钛根管挫
机用镍钛根管挫
手用不锈钢根管挫
机用不锈钢根管挫
正畸托槽
亚宏自锁托槽
普通金属托槽
单晶/陶瓷系列
颊面管
焊接型
粘接型
正畸带环
正畸带环
带环预焊颊面管
正畸牙弓丝
橡皮圈
口内附件
口外附件
正畸钳
口腔正畸工具
正畸托槽
亚宏自锁托槽
普通金属托槽
单晶/陶瓷系列
颊面管
焊接型
粘接型
正畸带环
正畸带环
带环预焊颊面管
正畸牙弓丝
橡皮圈
口内附件
口外附件
正畸钳
口腔正畸工具
根管锉
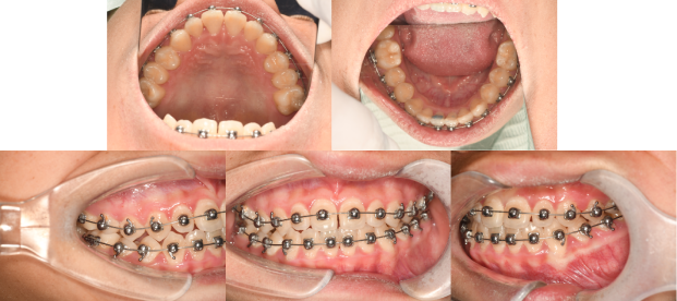
Q型自锁托槽产品&临床案例
发布时间:2024-11-28
产品特点
临床案例
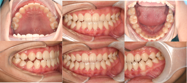
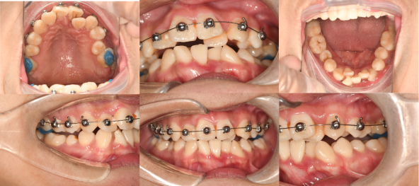
案例一:骨性三类非拔牙病例↓
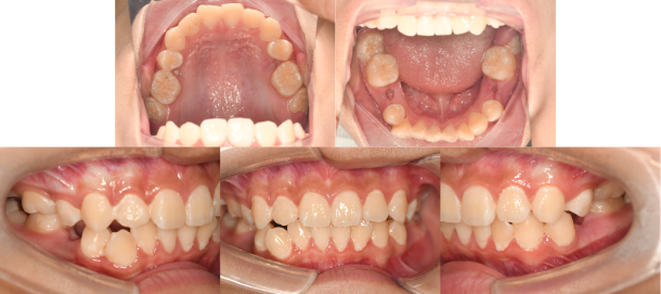
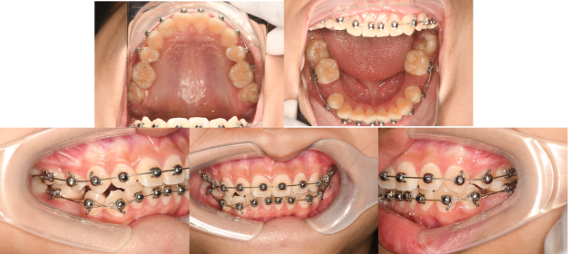
案例二:骨性-类拔牙病例↓
案例三:骨性一类严重拥挤,低角倾向病例↓
上一篇:
亚宏·鸿运自锁托槽
下一篇:
亚宏医疗2025春节放假通知