
产品亮点

01、张弛有度

创新性自锁设计,低摩擦轻力
创新性宽锁片设计,轻松紧密结扎 有效控制牙齿旋转
02、控轴能手

控根作用,矫治力更靠近阻力中心、更方便控根
更早实现第二磨牙控制,创新性粘贴式第二磨牙
03、轻松牵引

解决压痕困扰,有效消除压痕问题、享受卓越矫正效果
满足各种牵引需求,有效减少各种弓丝弯制、有效控制牵引压痕
04、从容回弯

全自锁设计
减少椅旁时间
实现“末端回弯”与“去回弯”

医患便捷
创新性全自锁设计
患者更舒适、医生更高效
05、舒适高效

舒适 圆润小巧不磨嘴 结构简单易清洁
高效 全自锁高效换弓丝 定制“开锁器”

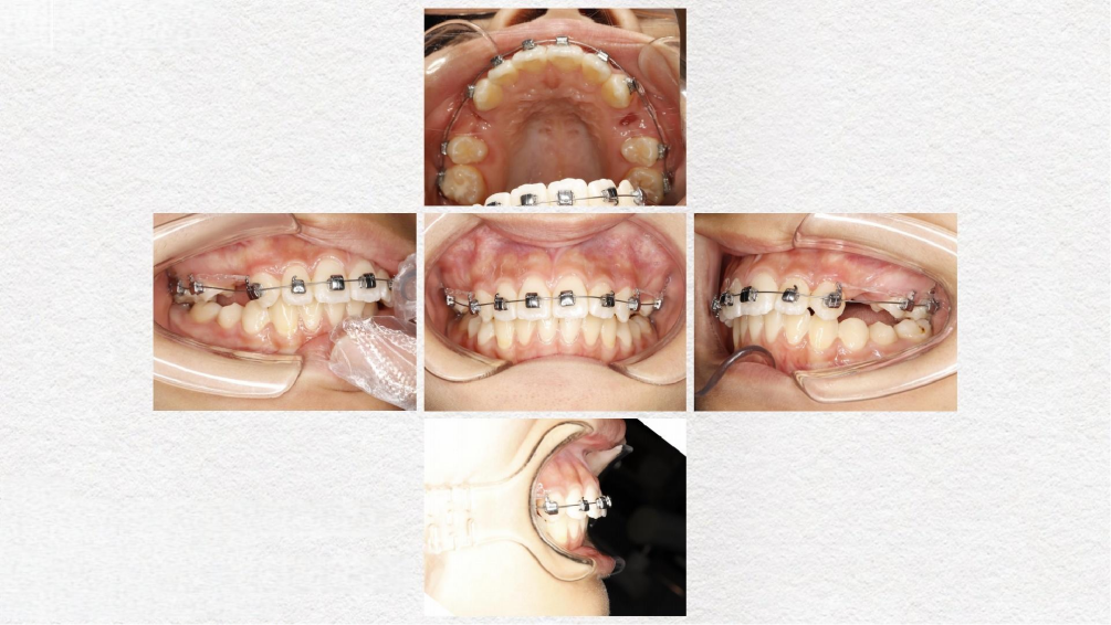
临床案例



注意:
1、如果尖牙牵引钩末端距离牙面过多,可以通过工具适度调整;
2、后牙如果咬合过紧,可以适度向龈方粘接托槽或适度调磨托槽。
常见问答FAQ
Q: 3牙位钩子过长会不会刮嘴?
A: 钩子设计符合人嘴唇的生理弧度,临床实验下来,鲜少有患者反应刮嘴,若有患者反映刮嘴可用持针器或细丝钳朝牙龈方向弯制,距离牙龈1-1.5mm即可;另外可以使用正畸蜡保护。
Q:13与33交互牵引橡皮筋是否会脱垂?
A:3号钩子较长,不会造成脱垂。
Q:4号牙无钩如何牵引呢?
A:如果拔牙不是4号牙,可以将其他牙位托槽与4号牙位交换,例如拔牙是5牙位,则将5牙位托槽粘接到4牙位。
Q:这款托槽临床实验多久,诊治多少病例?
A:临床2年,几百起病例。
Q:如何上门型辅弓呢?
A:一般不会影响到门型辅弓,且可以先上门型辅弓,再粘接托槽。
Q:为什么要2号牙带钩?
A:主要用于拔牙病例,下颌前导等,一般挂3号牙的话,矢状向的分力太小了,垂直向的分力太大了,这样我们的下颌就不容易往前倒。
如果2牙位带钩,就可以从6直接拉到2上,那矢状向的分力就变得更大,下颌就更容易往前倒,所以我们皮筋可以直接挂在2上,然后也可以从从7挂到3上,这样,我们对咬合的调整效率更高更好。
Q:6-7牙位是否比较大
A:是比较大,但是临床没有患者反馈不舒服,而且6牙位托槽网底大,粘接更牢固,另外后期会开发颊面管。
Q:我们托槽在什么病例上特别有优势呢?
A:主要争对拔牙病例和咬合错乱病例,牙医操作特别快,不需要额外的牵引钩等。
